跳转到内容
主菜单
主菜单
移至侧栏
隐藏
导航
首页
最近更改
随机页面
MediaWiki帮助
特殊页面
osm&bio
搜索
搜索
外观
创建账号
登录
个人工具
创建账号
登录
终变期
页面
讨论
大陆简体
阅读
查看源代码
查看历史
工具
工具
移至侧栏
隐藏
操作
阅读
查看源代码
查看历史
常规
链入页面
相关更改
打印版本
固定链接
页面信息
引用此页
外观
移至侧栏
隐藏
来自osm&bio
野狼君卡共和
(
留言
|
贡献
)
2025年6月19日 (四) 13:03的版本
(创建页面,内容为“
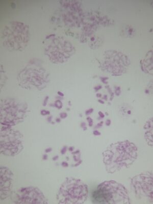
缩略图|终变期1
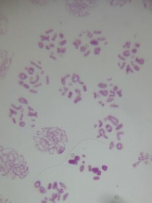
缩略图|终变期2
”)
(差异) ←上一版本 | 最后版本 (差异) | 下一版本→ (差异)
终变期1
终变期2
搜索
搜索
终变期
添加话题