跳转到内容
主菜单
主菜单
移至侧栏
隐藏
导航
首页
最近更改
随机页面
MediaWiki帮助
特殊页面
osm&bio
搜索
搜索
外观
创建账号
登录
个人工具
创建账号
登录
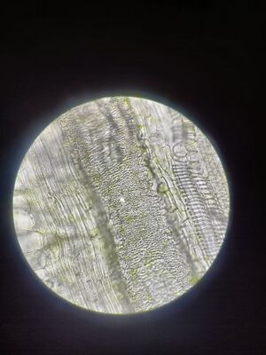
某种葫芦科的茎的纵切观察
页面
讨论
大陆简体
阅读
查看源代码
查看历史
工具
工具
移至侧栏
隐藏
操作
阅读
查看源代码
查看历史
常规
链入页面
相关更改
打印版本
固定链接
页面信息
引用此页
外观
移至侧栏
隐藏
来自osm&bio
螺纹导管
梯纹导管(可能)
网纹导管(特别鸣谢:火鸟)
筛管
孔纹导管(来自芦荟,特别鸣谢:项队)
搜索
搜索
某种葫芦科的茎的纵切观察
添加话题