第三十八章 内分泌系统简介
学习目标
完成本章后,学生应能够回答以下问题:
- 列举主要的内分泌腺及其分泌的激素。
- 绘制并区分简单的内分泌负反馈环路和涉及下丘脑、垂体前叶和外周内分泌腺的负反馈环路,并列出每种反馈环路下的主要内分泌腺。
- 定义释放激素和促激素。
- 解释蛋白质/肽类激素、儿茶酚胺类激素、类固醇激素和碘甲状腺素(甲状腺激素)的化学性质和特征。包括调节部位(合成或分泌)、激素的循环形式、激素受体的亚细胞定位和代谢清除等特征。
- 将外周转化的概念与分泌激素的功能/作用相结合。
- 将靶细胞中与激素反应相关的细胞内步骤整合起来。

细胞之间相互通信的能力是人类生物学的基础。正如第3章所讨论的,细胞间的通信发生在不同的复杂程度和距离上。内分泌信号传导包括:(1) 将一种称为激素(hormone)的细胞外信号分子调节分泌到细胞外液中;(2) 激素扩散进入血管系统并在全身循环;(3) 激素从血管室扩散到细胞外空间,并与靶器官细胞内的特定受体结合。由于激素在全身的扩散,一种激素通常调节多个靶器官的活动。相反,细胞经常表达多种激素的受体。
内分泌系统是一组腺体的集合,其功能是调节体内的多个器官,以(1)满足生物体的生长和繁殖需求,以及(2)响应内部环境中的波动,包括各种类型的压力。内分泌系统由三个子集的器官组成:
- 完全致力于内分泌功能的腺体,涉及生物活性激素的合成和分泌。这些包括(图38.1):甲状旁腺、垂体、 甲状腺、 肾上腺。
- 性腺(Gonads),它们具有主要的内分泌功能,以及生殖功能:睾丸或卵巢(表38.1);一个暂时性的器官,胎盘(placenta),也执行主要的内分泌功能。
- 主要功能不是内分泌的器官中的孤立内分泌细胞或内分泌细胞簇(见表38.1)。这些包括心脏中产生心房利钠肽(atrial natriuretic peptide)的细胞,肝脏中产生胰岛素样生长因子1型(IGF-1)的细胞,肾脏中产生促红细胞生成素(erythropoietin)的细胞,胰腺中产生胰岛素和胰高血糖素的细胞簇,以及胃肠道中产生胃肠道激素的多种细胞类型。下丘脑(hypothalamus)内还存在神经元胞体集合(称为核),它们分泌称为神经激素(neurohormones)的肽进入与垂体相关的毛细血管。
内分泌系统的第四个子集由多种细胞类型代表,这些细胞表达细胞内酶、外酶或分泌酶,将无活性的前体或活性较低的激素转化为高活性激素(见表38.1)。一个例子是通过两次连续的蛋白水解切割从无活性的多肽血管紧张素原(angiotensinogen)生成血管紧张素II(angiotensin II)(见第43章)。另一个例子是通过肝脏和肾脏中的两次连续的羟基化反应激活维生素D,生成高生物活性的激素1,25-二羟基维生素D(维生素D)。
内分泌系统中的反馈回路配置

内分泌腺之间的主要闭环反馈模式是负反馈。在负反馈环中,一种激素作用于一个或多个靶器官,诱导循环中特定成分水平的变化(减少或增加),而这种成分的变化随后抑制了该激素的分泌。负反馈环通过将生理参数(例如血糖水平)保持在正常范围内来赋予稳定性。在内分泌调节中也有少数正反馈的例子。一个闭环的正反馈环中,激素增加特定成分的水平,而该成分又刺激激素的进一步分泌,这会导致不稳定性。在正反馈环的控制下,某些事情必须发生;例如,正反馈环控制导致卵泡通过卵巢壁破裂或胎儿从子宫排出的过程。
内分泌系统中有两种基本的负反馈环配置:生理反应驱动的反馈环(简称为反应驱动反馈环)和内分泌轴驱动的反馈环(图 38.2)。反应驱动反馈环在控制血糖水平(胰岛细胞)、血液 Ca++ 和 Pi 水平(甲状旁腺、肾脏)、血液渗透压和体积(下丘脑/后垂体)以及血液 Na+、K+和H+水平(肾上腺皮质的球状带和心房细胞)的内分泌腺中观察到。在反应驱动配置中,激素的分泌受到特定细胞外参数水平变化的刺激或抑制(例如,血糖水平的升高刺激胰岛素分泌)。激素水平的变化导致靶器官生理特性的变化(例如,肝脏糖异生减少,肌肉对葡萄糖的摄取增加),这些变化直接调节所讨论的参数(在这种情况下是血糖水平)。参数的变化(血糖水平下降)随后抑制了激素的进一步分泌(即随着血糖水平下降,胰岛素分泌减少)。这种类型的反馈还涉及内分泌细胞对其他器官系统管腔内容物变化的反应,特别是胃肠道的管腔。

内分泌系统的很大一部分被组织成内分泌轴;每个轴由下丘脑、垂体和外周内分泌腺组成(见图38.2)。因此,内分泌轴驱动的反馈回路涉及三层结构。第一层由下丘脑的神经内分泌神经元组成,这些神经元分泌释放激素。释放激素刺激(或在少数情况下抑制)垂体(第二层)产生和分泌促激素。促激素刺激外周内分泌腺(第三层)产生和分泌激素。外周产生的激素——即甲状腺激素、皮质醇、性类固醇和IGF-1——通常对多种细胞类型具有多效性作用(例如,多种表型效应)。此外,这些外周产生的激素发挥主要的反馈回路,抑制垂体促激素和下丘脑释放激素的释放。与响应驱动的反馈相比,外周产生的激素的生理反应在内分泌轴驱动的反馈回路的调节中仅起次要作用。从临床角度来看,内分泌疾病被描述为原发性、继发性或三发性疾病(例如,继发性甲状腺功能亢进、三发性腺功能减退)。原发性疾病是外周内分泌腺的病变;继发性疾病是垂体前叶的病变;三发性疾病(tertiary disease)是下丘脑的病变。

内分泌轴的一个重要方面是下行和上行神经元信号能够调节下丘脑释放激素的释放,从而控制轴的活动。释放激素分泌神经元的主要神经元输入来自下丘脑的另一个区域,称为视交叉上核(SCN)。SCN神经元对下丘脑释放激素的分泌及其控制的内分泌轴施加一种每日节律,称为昼夜节律(图38.3)。SCN神经元代表一个内在的昼夜节律钟,这可以从它们每24到25小时自发地表现出电活动峰值的事实中得到证明。24到25小时的周期可以通过来自视网膜的专门神经输入被正常的环境光暗周期“驯化”(图38.4)。然而,在持续光照或黑暗下,SCN钟变得“自由运行”,并每天略微偏离24小时周期。
松果体在SCN(视交叉上核)和需要昼夜节律控制的各种生理过程之间形成了一个神经内分泌连接。这个靠近下丘脑的小腺体从神经递质血清素合成激素褪黑激素。褪黑激素合成的限速酶是$N.$ -乙酰转移酶。松果体中这种酶的数量和活性以循环方式显著变化,这解释了褪黑激素分泌及其血浆水平的循环。褪黑激素的合成在光照下受到抑制,在黑暗中显著受到刺激(图38.4)。因此,褪黑激素可能传递夜晚到来的信息,并相应地调节身体功能。在黎明或黄昏时,褪黑激素对SCN的反馈也可能有助于引发SCN 24至25小时时钟的昼夜节律。褪黑激素还有许多其他作用,包括诱导睡眠。
下丘脑神经元和垂体腺的另一个重要输入是应激,无论是系统性应激(如出血、炎症)还是过程性应激(如恐惧、焦虑)。重大的医疗或手术应激会覆盖生物钟,并导致一种持续且过度的激素释放和代谢模式,这种模式会动员内源性燃料,如葡萄糖和游离脂肪酸,并增加它们向关键器官的输送。相比之下,生长和生殖过程则受到抑制。此外,在炎症或免疫反应期间释放的细胞因子直接调节下丘脑释放激素和垂体激素的释放。
激素的化学性质
激素在生物化学上被分类为蛋白质/肽类、儿茶酚胺类、类固醇激素或碘甲状腺原氨酸类。激素的化学性质决定了(1)它如何合成、储存和释放;(2)它如何在血液中运输;(3)其生物半衰期和清除方式;(4)其细胞作用机制。
蛋白质/肽类
蛋白质和肽类激素可以分为由基因家族编码的结构相关分子。蛋白质/肽类激素的特异性来自其一级氨基酸序列和翻译后修饰,特别是糖基化。
由于蛋白质/肽类激素注定要分泌到细胞外,它们的合成和加工与那些注定留在细胞内或持续添加到膜上的蛋白质不同(图38.5)。这些激素在多核糖体上合成为较大的前激素或前激素。新生肽在其N端有一个由15到30个氨基酸组成的信号肽。信号肽与核糖核蛋白颗粒相互作用,最终引导正在生长的肽链通过位于内质网膜的腔面(即内表面)上的孔。信号肽酶去除信号肽后生成激素或激素原,然后从内质网的腔室运输到高尔基体,在那里被包装成膜结合的分泌囊泡,随后释放到细胞质中。糖蛋白的碳水化合物部分在高尔基体中被添加。
大多数激素是以激素原的形式产生的。激素原在其一级序列中包含活性激素的肽序列。然而,激素原是无活性或活性较低的,需要内肽酶的作用来修剪掉邻近的无活性序列。

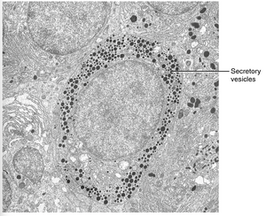
蛋白质/肽类激素以膜结合的分泌囊泡形式储存在腺体中,并通过调节性分泌途径通过胞吐作用释放。因此,这些激素不会持续分泌,而是在受到刺激后通过刺激-分泌偶联机制分泌。调节性胞吐作用需要能量、Ca++、完整的细胞骨架(微管、微丝)以及特定的包被蛋白,这些包被蛋白将分泌囊泡特异性地递送到细胞膜上。蛋白质激素产生细胞的超微结构特征包括丰富的粗面内质网和高尔基体膜,以及分泌囊泡的存在(图38.6)。
蛋白质/肽类激素在体液中是可溶的,除了IGFs和生长激素等显著例外,它们主要以未结合的形式在血液中循环,因此具有较短的生物半衰期。蛋白质/肽类激素通过多种过程从血液中清除,包括:(1) 被外酶(ectoenzymes)降解,(2) 通过肾脏排泄,和/或 (3) 激素-受体复合物的内吞作用和溶酶体降解(见“细胞对激素的反应”部分)。
如果口服给药,蛋白质/肽类在胃肠道中容易被消化。因此,它们必须通过注射给药,或者对于小肽类,可以通过黏膜(舌下或鼻内)给药。由于蛋白质/肽类不易穿过细胞膜,它们通过膜受体传递信号(见第3章)。

在细胞水平
具生物活性的激素通过激素原(prohormones,也称为前蛋白(proprotein))转化酶(PC)生成。这些酶以细胞特异性方式表达。例如,胰岛(pancreatic islets)中产生胰岛素的细胞(β细胞)表达PC1和PC2。胰岛素以前胰岛素原(preproinsulin)的形式产生,在内质网中被切割为胰岛素原(proinsulin),并以胰岛素原的形式包装在分泌囊泡中。在分泌囊泡中,单链中心的一部分(连接肽(connecting peptide))依次被PC1和PC2切割。成熟的分泌囊泡含有并分泌等摩尔量的胰岛素和连接肽。有时,激素原包含多种激素的序列。例如,蛋白质前阿黑皮素原(proopiomelanocortin, POMC)包含促肾上腺皮质激素(adrenocorticotropic hormone, ACTH)和促黑素细胞激素(melanocyte-stimulating hormones, MSHs)的氨基酸序列。垂体细胞仅表达PC1,并仅释放ACTH作为生物活性肽。相比之下,某些神经元细胞类型和角质形成细胞表达PC1和PC2,可以产生MSHs。还有一些激素原,称为polyproteins,它们包含多个相同生物活性肽的拷贝。例如,促甲状腺激素释放激素(thyrotropin-releasing hormone)的序列在前促甲状腺激素释放激素(prepro–thyrotropin-releasing hormone)序列中重复了六次。在人类中已经发现了PC1的罕见突变,这些突变与儿童期极度肥胖、葡萄糖稳态缺陷、低糖皮质激素水平、月经周期丧失和性腺功能减退(hypogonadism)以及胃肠功能问题有关。
儿茶酚胺

儿茶酚胺(catecholamines)由肾上腺髓质和神经元合成,包括去甲肾上腺素(norepinephrine)、肾上腺素(epinephrine)和多巴胺(dopamine)(图38.7)。肾上腺髓质的主要激素产物是肾上腺素,其次是去甲肾上腺素。儿茶酚胺通过氨基酸酪氨酸(tyrosine)的酶修饰获得其特异性。儿茶酚胺储存在分泌囊泡中,这些囊泡是受调节分泌途径的一部分。它们与三磷酸腺苷(adenosine triphosphate, ATP)、Ca++和称为嗜铬粒蛋白(chromogranins)的蛋白质共同包装。嗜铬粒蛋白在分泌囊泡的生物发生和囊泡内成分的组织中起作用。儿茶酚胺可溶于血液,并以未结合或松散结合于白蛋白(albumin)的形式循环。它们与蛋白质/肽类激素相似,因为它们不易穿过细胞膜,因此通过细胞膜受体产生作用。儿茶酚胺的生物半衰期较短(1-2分钟)。
类固醇激素(Steroid Hormones)
类固醇激素由肾上腺皮质、卵巢、睾丸和胎盘产生。这些腺体产生的类固醇激素分为五类:孕激素(progestins)、盐皮质激素(mineralocorticoids)、糖皮质激素(glucocorticoids)、雄激素(androgens)和雌激素(estrogens)。孕激素、盐皮质激素和糖皮质激素是21碳类固醇,而雄激素是19碳类固醇,雌激素是18碳类固醇(表38.2)。类固醇激素还包括维生素D的活性代谢物(见第40章),它是一种开环类固醇(secosteroid)(即其中一个环具有开放构象)。
| 类别 | 碳原子数 | 具体激素 | 主要合成部位 | 主要受体 |
|---|---|---|---|---|
| 孕激素(Progestin) | 21 | 孕酮(Progesterone) | 卵巢、胎盘 | 孕激素受体 |
| 糖皮质激素(Glucocorticoid) | 21 | 皮质醇(Cortisol)、皮质酮(Corticosterone) | 肾上腺皮质 | 糖皮质激素受体 |
| 盐皮质激素(Mineralocorticoid) | 21 | 醛固酮(Aldosterone)、11-脱氧皮质酮 | 肾上腺皮质 | 盐皮质激素受体 |
| 雄激素(Androgen) | 19 | 睾酮(Testosterone)、双氢睾酮(Dihydrotestosterone) | 睾丸 | 雄激素受体 |
| 雌激素(Estrogen) | 18 | 雌二醇-17β(Estradiol-17β)、雌三醇(Estriol) | 卵巢、胎盘 | 雌激素受体 |

类固醇激素(steroid hormones)是通过对胆固醇(cholesterol)进行一系列酶促修饰合成的,胆固醇具有四个碳环结构的核心(图38.8)。胆固醇的酶促修饰主要有三种类型:羟基化、脱氢/还原和裂解酶反应。这些修饰的目的是产生一种足够独特的胆固醇衍生物,以便被特定的受体识别。因此,孕激素与孕激素受体结合,盐皮质激素与盐皮质激素受体结合,糖皮质激素与糖皮质激素受体结合,雄激素与雄激素受体结合,雌激素与雌激素受体结合,而活性维生素D代谢物则与维生素D受体结合[译者注:神人作者]。类固醇激素作用的复杂性因每种受体存在多种形式而增加。此外,类固醇激素与其结合的受体之间存在一定程度的非特异性。例如,糖皮质激素与盐皮质激素受体具有高亲和力,而孕激素、糖皮质激素和雄激素都可以在一定程度上与孕激素、糖皮质激素和雄激素受体相互作用。正如后面所讨论的,类固醇激素是疏水性的,容易通过细胞膜扩散。因此,经典的类固醇激素受体位于细胞内,通过调节基因表达发挥作用。越来越多的证据表明,存在质膜和近膜类固醇激素受体,它们介导类固醇激素的快速、非基因组作用。

类固醇生成细胞类型被定义为能够将胆固醇转化为孕烯醇酮的细胞,这是所有类固醇生成途径共有的第一个反应。类固醇生成细胞具有一定的胆固醇合成能力,但通常从富含胆固醇的脂蛋白(低密度脂蛋白和高密度脂蛋白)中获取胆固醇。孕烯醇酮随后通过几种酶促反应进一步修饰。由于其疏水性,类固醇激素及其前体可以轻易离开类固醇生成细胞,因此不会被储存。因此,类固醇生成在胆固醇的摄取、储存和动员水平以及类固醇生成酶基因表达和活性水平上受到调控。类固醇激素的分泌水平不受调控。这种分泌模式的临床意义在于,当某一特定途径中的类固醇生成酶失活或缺失时,高水平的类固醇激素前体很容易释放到血液中。类固醇生成细胞的超微结构与分泌蛋白质和儿茶酚胺的细胞不同。类固醇生成酶位于线粒体内膜或平滑内质网膜上。因此,类固醇生成细胞通常含有大量的线粒体和平滑内质网(图38.9)。这些细胞还含有脂滴,代表胆固醇酯的储存。

类固醇生成的一个重要特征是,类固醇激素在从原始类固醇生成细胞释放后,通常会经历进一步的修饰(除了那些涉及失活和排泄的修饰)。例如,卵巢和胎盘合成雌激素需要至少两种细胞类型来完成从胆固醇到雌激素的转化。这意味着一种细胞分泌前体,而第二种细胞将前体转化为雌激素。活性类固醇激素的外周转化也相当显著。例如,睾丸分泌的雌激素很少。然而,脂肪、肌肉和其他组织表达将睾酮(一种强效雄激素)转化为雌二醇-17β(一种强效雌激素)的酶。因此,特定类固醇激素的总体产量等于(1)从类固醇生成细胞类型分泌的该特定类固醇激素和(2)其他类固醇激素外周转化为该特定类固醇激素的总和(图38.10)。外周转化可以产生(1)活性更强但相似的激素类别(例如,25-羟基维生素D转化为1,25-二羟基维生素D);(2)活性较低的激素,可以通过另一种组织可逆地激活(例如,皮质醇在肾脏中转化为皮质酮,随后在腹部脂肪组织中转化为皮质醇);或(3)不同类别的激素(例如,睾酮转化为雌激素)。类固醇的外周转化在多种内分泌疾病中起着重要作用(见第43章和第44章)。
由于类固醇激素的非极性特性,它们在血液中不易溶解。因此,类固醇激素在循环中与运输蛋白结合,包括白蛋白,但也有特定的运输蛋白,如性激素结合球蛋白和皮质类固醇结合球蛋白(见“激素在循环中的运输”部分)。激素从体内的排泄通常涉及失活修饰,随后在肝脏中进行葡萄糖醛酸化或硫酸化结合,这通常与胆汁排泄相结合。这些修饰还增加了类固醇的水溶性,并降低了其与运输蛋白的亲和力,从而使失活的类固醇激素能够通过肾脏排泄。类固醇化合物在胃肠道中相当容易被吸收,因此可以口服给药。
碘化甲状腺原氨酸

甲状腺激素是碘化甲状腺原氨酸(图 38.11),它们通过醚键连接碘化酪氨酸残基而形成。它们的特异性由甲状腺原氨酸结构以及甲状腺原氨酸的碘化位置决定。甲状腺激素通过运输系统穿过细胞膜。它们在甲状腺中以糖蛋白分子甲状腺球蛋白的组成部分形式在细胞外储存。甲状腺激素在血液和水性液体中溶解度较低,并以结合形式(>99%)在血液中运输。主要的运输蛋白是甲状腺激素结合球蛋白。甲状腺激素的半衰期较长(甲状腺素为7天;三碘甲状腺原氨酸为18小时)。甲状腺激素与类固醇激素相似,因为甲状腺激素受体位于细胞内并作为转录因子发挥作用。事实上,甲状腺激素受体属于与类固醇激素受体和维生素D受体相同的基因家族。甲状腺激素可以口服给药;完整吸收的量足以使其成为一种有效的治疗方式。
激素在循环中的运输
大部分类固醇和甲状腺激素在血液中以与血浆蛋白结合的形式运输,这些血浆蛋白由肝脏以受调控的方式产生。蛋白质和多肽激素通常在血液中自由运输。结合激素、游离激素和血浆运输蛋白的浓度处于平衡状态。如果游离激素水平下降,激素将从运输蛋白中释放出来。这种关系可以表示为:
公式38.1:[H]×[P]=[HP] 或 K = [H][P]/[HP]
其中[h]= 游离激素的浓度,[P]= 血浆运输蛋白的浓度,[HP]= 结合激素的浓度,K= 解离常数。
游离激素是作用于靶器官、反馈控制以及通过细胞摄取和代谢清除的生物活性形式。因此,在评估激素状态时,有时除了测定总激素水平外,还必须测定游离激素水平。这一点尤为重要,因为激素转运蛋白本身会受到内分泌状态和疾病状态变化的影响。
蛋白质结合有几个目的。它延长了激素的循环半衰期。许多激素容易穿过细胞膜,如果不与蛋白质结合,它们要么进入细胞,要么被肾脏排泄。结合激素代表了一个激素库,因此可以缓冲激素分泌的急性变化。一些激素,如类固醇,在血液中的溶解度较低,蛋白质结合促进了它们的运输。
细胞对激素的反应
在配体-受体结合的背景下,激素也被称为配体(ligands),并且作为激动剂(agonists),因为它们与受体的结合被转化为细胞反应。受体拮抗剂(receptor antagonists)通常与受体结合并将其锁定在非活性状态,在这种状态下,受体无法诱导细胞反应。受体的丢失或失活会导致激素抵抗。受体的组成性激活(constitutive activation)会导致细胞过程的非调控性、激素非依赖性激活。
激素几乎调节每个器官系统中细胞功能的每个主要方面。激素控制细胞的生长,最终决定它们的大小和细胞分裂的能力。激素调节细胞的分化及其存活或经历程序性细胞死亡的能力。它们影响细胞代谢、体液的离子组成和细胞膜电位。激素协调多个复杂的细胞骨架相关事件,包括细胞形状、迁移、分裂、胞吐作用、回收/内吞作用以及细胞-细胞和细胞-基质粘附。激素调节细胞质和膜蛋白的表达和功能,特定的激素可能决定其自身受体或其他激素受体的水平。
尽管激素可以对细胞功能的多个方面施加协调的、多效性的控制,但任何给定的激素都不会调节每种细胞类型中的每个功能。相反,单一激素仅控制表达该激素受体的细胞类型中的一部分细胞功能。因此,选择性受体表达决定了哪些细胞对给定激素作出反应。此外,细胞的分化状态决定了它对激素的反应方式。因此,激素反应的特异性在于激素本身的结构、激素的受体以及表达受体的细胞类型。血清激素浓度通常极低。因此,受体必须对其同源激素具有高亲和力和特异性。
激素-受体结合如何转化为细胞反应?激素与受体结合会诱导受体发生构象变化。这些变化统称为信号。信号被转化为一个或多个细胞内信使的激活。信使分子随后与效应蛋白结合,进而改变特定的细胞功能。激素-受体结合(信号)、信使的激活(转导)以及一个或多个效应蛋白的调节的组合被称为信号转导通路(也称为信号通路),最终结果被称为细胞反应。信号通路通常具有以下特性:
- 多个层次分明的步骤,其中“下游”效应蛋白依赖于并受“上游”受体、转导器和效应蛋白的驱动。这意味着通路中一个或多个组分的丢失或失活会导致对激素的普遍抵抗,而组分的组成性激活或过表达则可能以不受调控的方式驱动通路。
- 初始激素-受体结合的放大。放大效应可以如此之大,以至于当激素与一小部分受体结合时,就能达到对激素的最大反应。
- 从一个激素-受体结合事件中激活多个通路,或至少调节多个细胞功能。例如,胰岛素与其受体结合会激活三个独立的信号通路。即使在相当简单的通路中(例如,胰高血糖素激活腺苷酸环化酶),下游事件的分化也允许调节多个功能(例如,糖原磷酸化酶的翻译后激活和磷酸烯醇丙酮酸羧激酶基因转录的增加)。
- 组成性和调节性负反馈反应的拮抗作用。这意味着信号被相反的反应减弱或终止(或两者兼有),并且相反组分的功能丧失或获得可能导致特定通路的激素非依赖性激活或激素抵抗。
如第3章所述,激素通过膜受体或细胞内受体向细胞传递信号。膜受体对细胞过程(例如,酶活性、细胞骨架排列)具有快速影响,这些影响不依赖于新蛋白质的合成。膜受体还可以通过移动激酶(例如,环磷酸腺苷依赖性蛋白激酶[PKA]、丝裂原活化蛋白激酶[MAPKs])或移动转录因子(例如,信号转导和转录激活蛋白[STATs]、Mothers against decapentaplegic同源物[SMAD1])快速调节基因表达。类固醇激素具有较慢、较长期的影响,涉及染色质重塑和基因表达的变化。越来越多的证据表明,类固醇激素也具有快速的非基因组效应,但这些通路仍在阐明中。
功能性受体的存在是激素作用的绝对必要条件,受体缺失与激素缺失产生的症状基本相同。除了受体外,还存在相当复杂的信号通路,涉及多种细胞内信使和效应蛋白。因此,内分泌疾病可能由这些信号转导通路组分的异常表达或异常活性,或两者同时引起。最后,激素信号可以通过多种方式终止,包括激素/受体内化、磷酸化/去磷酸化、受体的蛋白酶体降解以及反馈抑制因子的生成。
临床相关
内分泌疾病可以大致分为特定激素通路的功能亢进或功能减退。功能减退可能由活性激素缺乏或激素抵抗引起,后者是由于激素受体失活或受体后缺陷所致。睾丸女性化综合征是一种显著的激素抵抗形式,其中雄激素受体发生突变,无法被雄激素激活。在青春期前未确诊的患者中,由于睾丸和垂体之间的负反馈被取消,睾丸会过度受刺激。由于受体缺陷,增加的雄激素水平没有直接的生物学效应。然而,雄激素在外周被转化为雌激素。因此,受影响的个体在遗传上是男性(即46,XY),但具有强烈的女性化外部表型、女性性别认同,并且通常对男性有性偏好(即与性别认同相关的异性恋)。治疗包括切除过度受刺激的睾丸(位于腹部并有患癌风险)、雌激素替代治疗,以及为患者及其伴侣/配偶提供咨询,以解决不孕和社会/心理困扰。
关键概念
- 内分泌信号传导涉及:(1)调节性分泌一种称为激素的细胞外信号分子到细胞外液中;(2)激素扩散到血管系统中并在全身循环;(3)激素从血管腔室扩散到细胞外空间,并与靶器官细胞内的特定受体结合。
- 内分泌系统由胰腺、甲状旁腺、垂体、甲状腺、肾上腺和性腺(睾丸或卵巢)的内分泌组织组成。
- 负反馈是一种重要的控制机制,赋予内分泌系统稳定性。激素节律被施加在负反馈环路上。
- 蛋白质/肽类激素在核糖体上产生,并储存在内分泌细胞的膜结合分泌颗粒中。它们通常不易穿过细胞膜,并通过细胞膜相关受体发挥作用。
- 儿茶酚胺在细胞质和分泌颗粒中合成,不易穿过细胞膜。它们通过细胞膜相关受体发挥作用。
- 类固醇激素不在组织中储存,通常相对容易穿过细胞膜。它们通过细胞内受体发挥作用。
- 甲状腺激素在滤泡细胞中合成,并以甲状腺球蛋白的形式储存在滤泡胶质中。它们穿过细胞膜并与核受体结合。
- 一些激素通过膜受体发挥作用,它们的反应由快速的细胞内信号传导途径介导。
- 其他激素与核受体结合,通过直接调节基因转录发挥作用。